Pleural Effusion: Explanation of X-ray Findings - YouTube
𝚝𝚑𝚎𝚡𝚛𝚊𝚢𝚍𝚘𝚌𝚝𝚘𝚛) on X: "Signs of a subpulmonic effusion on chest X-rays include “lateral peaking” of the diaphragm. Read more @Radiopaedia 👉🏼 https://t.co/TUPInteeTj #icssoa2018 #radmasterclass https://t.co/uwgAsVf9Mn" / X
An Asymptomatic Haemorrhagic Pleural Effusion Mimicking Extra-Pulmonary Tuberculosis in a Young Woman with Thoracic Endometriosis Syndrome: A Case Report
Chest X-ray - Pleural Effusion | Epomedicine
Chest Radiology
Radiographic Diagnosis of Pleural Effusion and Pulmonary Edema in Dogs and Cats
Radiology Case of the Week | Canine Pleural Effusion
Diagnostic Imaging of Small Amounts of Pleural Fluid: Pleural Effusion vs. Physiologic Pleural Fluid
Pleural effusion. Coloured side X-ray of the lungs of a 60-year-old patient with a pleural effusion of the left lung Stock Photo - Alamy
Radiology Case of the Week | Canine Pleural Effusion
Chest Xray Severe Right Pleural Effusion Stock Photo 1432542602 | Shutterstock
Xmlinkhub
The Radiology Assistant : Chest X-Ray - Basic Interpretation
Pleural effusion - Knowledge @ AMBOSS
Radiographic Diagnosis of Pleural Effusion and Pulmonary Edema in Dogs and Cats
Chest X-Ray Lung Normal Vs Abnormal Image Appearances Part 2 | Pleural Effusion/Pneumothorax PA CXR - YouTube
Image-guided drainage of intrathoracic air and fluid collections - Pulmonology Advisor
Case 8 answers - Pleural Effusions - Clinical Respiratory Diseases & Critical Care Medicine, Seattle - Med 610 - University of Washington School of Medicine
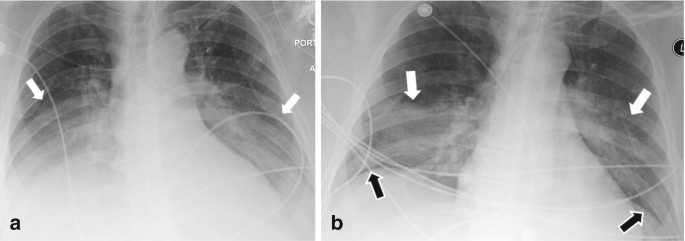
Recognition of pleural effusion on supine radiographs: how much fluid is required?
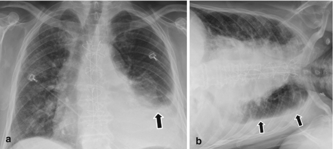
Imaging Subpulmonic Effusions - wikiRadiography
Pleural effusion is not always visible as a meniscus ... | GrepMed